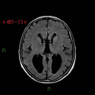
1-Colpocephaly means hydrocephalus or dilatation affecting posterior horns of the lateral ventricles more than anterior horns.
2-This condition occurs in the following diseases
-Agenesis of corpus callosum.
-Chiari malformation type 2.
![]() |
| The above image is an example for colpocephaly where the posterior horns of the lateral ventricles are dilated more than the anterior horns. |
![]() |
| Axial T1-weighted magnetic resonance image in a patient with a Chiari malformation. This image shows a beaked tectum (arrows) and colpocephaly (arrowheads). |
![]() |
| Colpocephaly with agenesis of corpus callosum. |



No comments:
Post a Comment