1-Schizencephaly means a defect in the surface of the brain.
2-This defect may communicate with the ventricle known as open lip schizencephaly or do not communicate known as closed lip schizencephaly.
3-Important sign to diagnose schizencephaly is that the cleft should be lined with cortex grey matter.
4-In case of closed lip schizencephaly, you must find a small diverticulum suggesting the site where the ventricle will communicate with cleft.
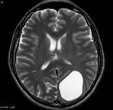
5-D.D. from porencephaly where it is not lined with grey matter and it does not usually reaching the surface of the brain.![]() |
| Open lip schizencephaly |
![]() |
| Not lined with cortex--Porencephaly |
![]() |
| Closed lip schizencephaly |





No comments:
Post a Comment